ENDODONCJA: inaczej leczenie kanałowe-dziedzina stomatologii zajmująca się "ratowaniem" zębów przed ekstrakcją (usunięciem).
Dziedzina ta w ostatnich latach bardzo szybko się rozwinęła i nadal rozwija co sprawia, że większość zębów wcześniej skazywanych na ekstrakcje (usunięcie) dziś daje się uratować. Nie byłoby to możliwe bez wykorzystania specjalistycznego sprzętu stomatologicznego i odpowiednich materiałów.
Najważniejszym z nich jest
MIKROSKOP STOMATOLOGICZNY
dający możliwość pracy w dużym powiększeniu ok.10 razy dzięki pracy w takim powiększeniu umożliwia odnalezienie wszystkich kanałów jakie są w danym zębie oraz przeprowadzenie perfekcyjnego leczenia kanałowego.
Kolejnym ważnym narzędziem jest KOFERDAM
czyli pewnego rodzaju izolacja zakładana podczas leczenia kanałowego.
Koferdam stwarza mini pole zabiegowe co pozwala przeprowadzić zabieg bez dostępu śliny tym samym bakterii, oraz jest formą ochronna przed dostaniem się do jamy ustnej płynów i narzędzi kanałowych wykorzystywanych podczas leczenia co daje bardzo duży komfort i bezpieczeństwo zarówno dla Pacjenta jak i lekarza.
Istotne są również NARZĘDZIA KANAŁOWE gdyż tylko precyzyjne opracowanie kanału tzn. odpowiednia długość i szerokość stwarza szanse na eliminacje bakterii ze światła kanału, ponieważ większość kanałów ma przebieg zakrzywiony ważne jest aby wykorzystywane narzędzia mogły dostosowywać się do krzywizny kanału.
Do określenia dokładnej długość konieczny jest
ENDOMETR
Praca narzędziami wspomagana jest środkami płuczącymi o właściwościach antybakteryjnych najważniejszym z nich jest podchloryn sodu. Dodatkowo mogą być wykorzystywane: kwas cytrynowy, alkohol izopropylowy.
Kolejny krok to wypełnienie kanałów uprzednio przygotowanych przez w/w urządzenia z zastosowaniem
systemu GP300 i OBTURA.
Obecnie najczęściej stosowanym i najskuteczniejszym materiałem jest gutaperka kondensowana w kanale korzeniowym na zimno lub na gorąco, jej konsystencja może wypełnić boczne kanaliki, które są niedostępne dla narzędzi mechanicznych.
Ostatnim etapem leczenia kanałowego jest wykonanie zdjęcia RTG w celu kontroli poprawności przeprowadzonego leczenia.
Leczenie kanałowe dzielimy na:
1. leczenie pierwotne( pierwszorazowe)
2. leczenie wtórne-reendo (ponowne)
Przyczyny pierwotnego leczenia kanałowego:
- głęboki ubytek próchnicowy sięgający miazgi zębowej
-patologiczne starcia zębów
-głębokie nadżerki
-urazy zębowe
-patologiczne kieszenie przyzębne


wyraźnie widoczne nietypowe ujścia 3 kanałów w powiększeniu








udrożnione i wypełnione kanały
Przyczyny wtórnego leczenie kanałowe:
-widoczne na RTG zmiany zapalne wokół wierzchołków korzeni pomimo wcześniejszego pierwotnego leczenia kanałowego, objawiające się:
-bólami samoistnymi
-bólami przy nagryzaniu
-obrzękiem
-obecnością przetoki
-kanały wypełnione w sposób nieprawidłowy bez widocznych zmian zapalnych przy wierzchołkach
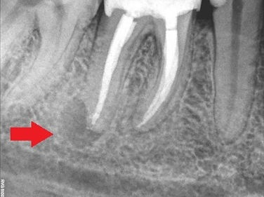
OPIS PRZYPADKU:
Pacjent lat 44 zgłosił się do gabinetu z obrzękiem okolicy zęba 46( prawa dolna szóstka) po wykonaniu RTG widoczne niedopełnione kanały oraz zmiany okołowierzchołkowe. W tym przypadku ząb został zakwalifikowany do ponownego leczenia kanałowego, polegającego na udrożnieniu, opracowaniu kanałów oraz szczelnym ich wypełnieniu, tylko takie postępowanie daje pomyślne rokowanie co do ustąpienia obrzęku i zmian zapalnych oraz daje szanse zachowania zęba.
widoczny głęboki ubytek próchnicowy sięgajacy do miazgi zębowej konieczne leczenie kanałowe

Widoczne na RTG zmiany zapalne wokół wierzchołka, niedopełnione kanały

RTG po leczeniu- kanały opracowane i wypełnione do końca

RTG kontrolne po 6 miesiącach od leczenia, widoczne gojenie sie zmian


przed leczeniem
po leczeniu


przed leczeniem
po leczeniu


przed leczeniem
po leczeniu


przed leczniem
po leczeniu


przed leczeniem
po leczeniu








